Skip to main contentSkip to footer

Testimonios

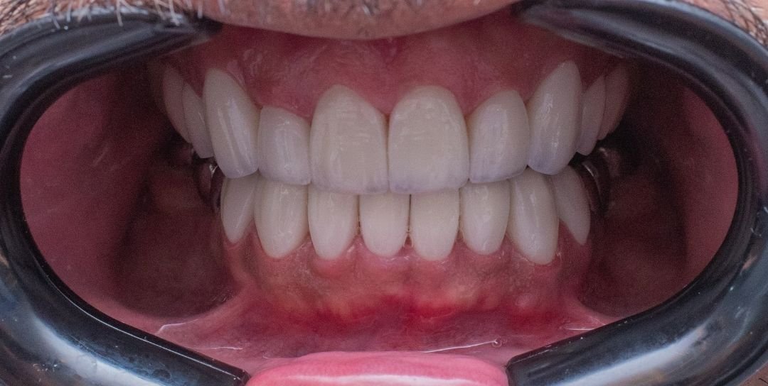
En Pixel Dental cada sonrisa cuenta una historia.
Nuestros pacientes han transformado su confianza y bienestar gracias a tratamientos personalizados, tecnología avanzada y el acompañamiento cercano de la Dra. Gabriela Planas y el Dr. Álvaro Gutiérrez.

Escucha sus experiencias y descubre por qué tantas personas en Pereira y Medellín confían en nosotros para cuidar y realzar su sonrisa.

Before imageAfter image
Before imageAfter image
Before imageAfter image
Before imageAfter image
Before imageAfter image
Before imageAfter image

Testimonios de nuestros pacientes

Cada sonrisa tiene una historia. Estos son algunos de los pacientes que confiaron en nosotros para transformar la suya con Pixel Dental.

Lo que dicen nuestros pacientes

Ayer tuve la oportunidad de realizarme un microdiseño de sonrisa y la experiencia supero totalmente mis expectativas. Desde el inicio la experiencia fue excelente: la puntualidad, el servicio al cliente y la atención de todo el equipo fueron impecables. Algo que me llamó mucho la atención y que valoro profundamente es el trato tan humano de la doctora, que transmite confianza y tranqulidad durante todo el proceso, lo cual marca una diferencia muy positiva. Sin duda, recomiendo totalmente este lugar, no solo por la calidad profesional de su trabajo, sino también por la calidez con la que atienden a cada persona.

Ellis Hunter

Estoy muy agradecido con Pixel y todo su equipo, de verdad que hacen un maravilloso trabajo, su profesionalismo dedicación y compromiso es de lo mejor, te devuelven la confianza, te hacen sentir más seguro, estoy muy agradecido y muy satisfecho con el resultado, y ni hablar de la atención, los recomiendo al 1000%.❤️😁…

Brandy Craig

Quedé súper contenta con el resultado de mi micro diseño, superó todas las expectativas que tenía en mente y siempre estuve con los mejores profesionales. La atención al cliente es excelente, el trabajo de la doctora 20/10.

Randal Parsons

La experiencia en Pixel es increíble, son muy profesiones y amables. La doctora Gaby realiza un trabajo impecable, su sentido de la estética es alto además que es una dulzura Lo super recomiendo, yo amé mi resultado

Kim Nunez

¿Donde estamos Ubicados?

Marketing email consent
location

Pixel Dental Pereira

Nos encuentras en el corazón de Pereira, dentro del Centro Comercial Fénix – Local 16.
Un espacio moderno y accesible para que vivas una experiencia odontológica única, con el respaldo de Pixel Dental.

location

Pixel Dental Medellin

Nuestra sede en Medellín está ubicada en la Torre Médica Salud Servicios, un centro de salud de alto nivel donde cuidamos tu sonrisa con tecnología de vanguardia y un equipo especializado en estética dental avanzada.